インビザライン矯正とワイヤー矯正、セラミック治療(セラミック矯正)について
インビザライン矯正について
矯正というとワイヤー矯正を思い浮かべる方が多いと思います。
矯正をしたいが、写真を撮る時やイベント事のときに針金が見えるのが嫌だ!
矯正は痛そうだから!
などの理由で歯並びに悩みを持っていても中々矯正に一歩が踏み出せない方もいらっしゃるのではないでしょうか?
そんな方へインビザライン矯正がオススメです。
インビザライン矯正はアメリカで作製しているマウスピース矯正になります。
型どりをし、その人の矯正に必要なマウスピースが何十枚か出来上がってきます。透明のマウスピースを約1週間〜2週間毎に交換をしながら矯正をしていきます。
ほとんど痛みはなく、食事の時は取り外しもでき、好きな物も食べれますし歯磨きも通常通りできます。
つけ始めた最初だけ歯が動く事で多少の痛みはありますが、全然苦にならない程度の痛みです。
インビザラインの注意点は、
①外食やお出掛けしたときに取り外してマウスピースを置き忘れてきてしまうこと!
②1日約20時間以上を目安でマウスピースを着けていないといけないので、付け忘れを気をつけること!
③マウスピースを1週間〜2週間毎に交換するので、しっかり自己管理で進めていくこと!
この3点が出来れば大丈夫です。
マウスピースを付けながらホワイトニングをすることもできるので、矯正をしながら歯も白くでき、一石二鳥な部分もメリットの1つですね!
ワイヤー矯正について
ワイヤー矯正は毎月先生がワイヤーの調整をし歯を動かしていきます。
インビザラインと違い、1度装置を付けてしまえば後は先生に調整してもらうだけで歯が自然と動いていくので、自分で何かするという必要がありません。
自己管理が難しい方にはワイヤー矯正がオススメです。
インビザラインよりワイヤー矯正の方が歯の動きは早いので、歯の動きを実感しやすいかと思います。
ワイヤー矯正の注意点は、
①装置が常に付いている状態なので、食べ物の着色や歯磨きに気をつける必要があります。
②歯が動くことで痛みがあります。特に最初は痛みが強くでます。
③ワイヤーや矯正装置が取れてしまった場合は歯医者への来院が必要になります。
矯正は歯並びだけではなく、骨格やEラインや口ゴボなどでお悩みの方にもオススメです。
インビザラインとワイヤー矯正の治療期間について
インビザラインとワイヤー矯正どちらも約2年間が目安になります。
インビザラインはしっかりマウスピースを付けていないと歯が動かないので、マウスピースをどれだけしっかり付けていられるかで矯正の期間が変わってきます。
サボってしまったりすると、矯正期間が延びてしまいます。
ワイヤー矯正は約2年間でほぼ歯並びが完成してきます。
個人差がありますので、2年以上かかることもあります。
インビザラインもワイヤー矯正も歯並びが揃った後は後戻り防止の為に、約2年間くらいマウスピースなどのリテーナー(保定装置)を付けていただきます。
セラミック治療(セラミック矯正)について
これまで矯正についてお話してきましが、矯正をせずに歯を綺麗にしたいという方もいらっしゃると思います。
そんな方へセラミック治療(セラミック矯正)がオススメです。
私も矯正かセラミックで悩んでいましたが、私は骨格なども治したかったので矯正を選びました。
セラミック治療は矯正ほど治療期間がかからず、自分のなりたい歯の形、色、デザインをオーダーメイドできます。
セラミックは変色などもしにくい為、いつまでも白く綺麗な歯でいられます。
矯正するほどではないけど、歯の形や色が気になるという方や、今より綺麗な歯になりたいという方にセラミック治療はとってもオススメです。
歯が綺麗になることで自信をもって笑うことができるようになったり、笑顔が増えると自然と明るい印象になりますよね!
今マスク生活で中々歯を見られる機会が少ないですが、この時期だからこそ歯の治療をするのにとってもチャンスです!
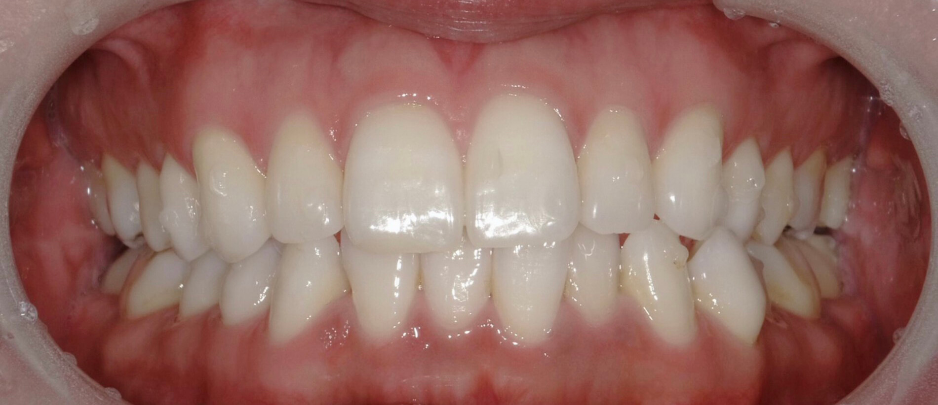
私も現在インビザライン矯正を初めて7ヶ月目になります。
だいぶ歯が動いてきて歯並びが変わってきました。
こちらが私のインビザライン矯正を初める前と現在7ヶ月目の経過のお写真になります。
矯正前

現在(インビザライン矯正7ヶ月目)

	インビザライン矯正
	施術内容:マウスピースを用いて歯を並べる方法
	費用目安:398,000円(税込437,800円)~898,000円(税込987,800円)
	リスク:1日20時間以上装着する必要があるため、装着できない場合は歯がきれいに並ばない可能性がある
マスク生活が終わったとき、綺麗な歯で笑って過ごせる日を楽しみに私も今矯正を頑張っています。
矯正やセラミックでお悩みの方や、少しお話を聞いてみたいという方は是非1度カウンセリングにいらしてください!
デンタルクリニックピュア恵比寿 受付 小林
先ほどお話した矯正とセラミック治療について詳しい内容は下記URLをご覧ください!
矯正についてはこちら
恵比寿院 ➡️ https://www.dc-pure.com/ebisu/service/orthodontic
伊勢原院 ➡️ https://www.dc-pure.com/isehara/service/orthodontic
セラミック治療についてはこちら
恵比寿院 ➡️ https://www.dc-pure.com/ebisu/service/cosmetic_dentistry
伊勢原院 ➡️ https://www.dc-pure.com/isehara/service/cosmetic_dentistry
この記事を書いた人

- 歯科衛生士
- 普段は歯科衛生士としてお仕事をし、患者様の治療に入る中で、「ここで治療をしてよかった!」「もっと早く治療をすればよかった」「綺麗になって嬉しい」など沢山の嬉しいお言葉をいただけるように尽力しております。今後もPURE GROUPをよろしくお願い申し上げます。
最新の投稿
 予防歯科2025年8月25日口臭の原因と予防について 予防歯科2025年8月25日口臭の原因と予防について
 小児歯科2025年8月22日子供の虫歯は親からうつる? 小児歯科2025年8月22日子供の虫歯は親からうつる?
 審美歯科2025年7月31日セレックセラミック治療 審美歯科2025年7月31日セレックセラミック治療
 インプラント2025年5月26日インプラント治療で『しっかり噛める幸せ』をもう一度体感しませんか😄? インプラント2025年5月26日インプラント治療で『しっかり噛める幸せ』をもう一度体感しませんか😄?
CLINIC INFORMATION
デンタルクリニック ピュア恵比寿
- 住所
- 東京都渋谷区恵比寿1-7-13 只見ビル2F/5F
- 診療時間
- 
				
				
				月~金 10:00~20:00(昼休憩なし) 
 火(月1回) 10:00~21:00(昼休憩なし)
 土・日・祝 午前 10:00~13:00
 土・日・祝 午後 14:00~17:30
 今月の診療スケジュールはこちら 
デンタルクリニック ピュア伊勢原
- 住所
- 神奈川県伊勢原市板戸 267-6
- 診療時間
- 
				
				
				月・火・木・金 午前 10:00~13:00 
 月・火・木・金 午後 14:00~18:30
 土 午前 10:00~13:00
 土 午後 14:00~17:30
 水・日・祝 休診
 今月の診療スケジュールはこちら 
公式サイト
				デンタルクリニックピュア
https://www.dc-pure.com/
ピュアビューティー
https://www.dc-pure.com/pure-beauty/







