歯だけでなく口元の美しさを考慮し、機能的な嚙み合わせが得られるような歯科治療のことです。
ただ歯を白くするだけではなく、患者様のご要望・お悩みに合わせて治療計画を立て、美しい口元を目指します。
一般的には、ホワイトニング、セラミック、歯列矯正、インプラント治療などがございますが、美容施術も行っておりますので、お顔全体のトータルビューティをご提案させていただくこともございます。




20代 女性
施術内容:ダイレクトボンディング(隙間を埋める虫歯の治療)
費用目安:25,000円×2、55,000円(税込)



20代 女性
施術内容:ダイレクトボンディング(隙間を埋める虫歯の治療)
費用目安:25,000円×2、55,000円(税込)



30代 男性
施術内容:ダイレクトボンディング(隙間を埋める虫歯の治療)
費用目安:25,000円×2、55,000円(税込)



40代 男性
施術内容:ダイレクトボンディング(隙間を埋める虫歯の治療)
費用目安:20,000円×2、44,000円(税込)
ダイレクトボンディング
施術内容:隙間を埋める虫歯の治療
費用目安:1歯・20,000円(税込22,000円)~25,000円(税込27,500円)
リスク:ご自身の歯を多少削らなくてはならない、麻酔が必要になる場合がある
当院自慢のフルオーダーセラミックです。
患者様の歯の色調に合わせ細かく色を再現させて天然歯に近づけて作製します。
保険診療での詰め物や被せ物はプラスチックを使用しているため、変色や劣化が起きますが、当院のセラミックは変色もなく汚れも付きにくくなっておりますので大変人気です。

4色の色見本からお選び頂く耐久性も審美性も考慮した前歯向けのセラミックです。
プレミアムPUREクラウンセラミックよりお得にセラミックにすることが出来ます。
※2歯以上から可能です。
こちらもプレミアムPUREクラウン同様、金属を一切使用しておらず、奥歯などの嚙み合わせに考慮したセラミックの被せ物です。
色見本に合わせた色調で天然歯のように美しく見間違えるほどのセラミックです。
前歯の表面のみを薄く削りセラミックを貼り付けるものです。
ご自身の歯を残したままセラミックを貼り付けるため、多少の透明感は衰えますが、例えば歯と歯の隙間がある方や、オールセラミックのように歯を大きく削ることに抵抗がある方におすすめです。
セラミックは、見た目が美しいだけでなく、セラミックを用いた治療は、どんな方におすすめなのかご紹介いたします。
① 金属アレルギーがある方
② 銀歯ではなく見た目を白くしたい方
③ 虫歯を再発させたくない方
| オールセラミック | |||
|---|---|---|---|
![]() |
|||
![]() |
ワンポイント | 最高の美しさ |
|
| 素材 | 100%セラミックを使用 | ||
| ○長所 | 美しさNO.1 自然で透明感のある白色 金属アレルギーにならない |
||
| ×短所 | 極度の衝撃で割れることがある | ||
|
|
|||
| ゴールド | |||
|---|---|---|---|
![]() |
|||
![]() |
ワンポイント | 安全・健康 |
|
| 素材 | 金合金 | ||
| ○長所 | 耐久性No.1. 2次むし歯になる可能性が低い 金属アレルギーになりにくい |
||
| ×短所 | 色が目立つ | ||
|
|
|||
| 金銀パラジウム合金 | |||
|---|---|---|---|
![]() |
|||
![]() |
ワンポイント | 保険適用 |
|
| 素材 | 銀、パラジウムなどを使った銀合金 | ||
| ○長所 | 健康保険が適用できる | ||
| ×短所 | 色が目立つ 2次むし歯になりやすい 金属アレルギーになる可能性がある |
||
|
|
|||
| オールセラミック | |||
|---|---|---|---|
![]() |
|||
![]() |
ワンポイント | 健康・美しい |
|
| 素材 | 100%セラミックを使ったもの | ||
| ○長所 | 白く美しい。 目立たない。ほとんど変色しない 金属アレルギーにならない。 |
||
| ×短所 | |||
|
|
|||
| ゴールド | |||
|---|---|---|---|
![]() |
|||
![]() |
ワンポイント | 安全・健康 |
|
| 素材 | 金合金 | ||
| ○長所 | 耐久性がある。 2次むし歯になる可能性が低い 金属アレルギーになりにくい |
||
| ×短所 | 色が目立つ。 | ||
|
|
|||
| 金銀パラジウム合金 | |||
|---|---|---|---|
![]() |
|||
![]() |
ワンポイント | 保険適用 |
|
| 素材 | 銀、パラジウムなどを使った銀合金 | ||
| ○長所 | 健康保険が適用できる | ||
| ×短所 | 色が目立つ 2次むし歯になりやすい 金属アレルギーになる 可能性がある |
||
|
|
|||
| 保証期間 | 破損・紛失・再治療(※1) |
|---|---|
| 装着~1年 | 100% |
| 1年~2年 | 100% |
| 2年~3年 | 100% |
| 3年~4年 | 70% |
| 3年~4年 | 70% |
| 4年~5年 | 50% |
| 5年~ | 実費 |


自然な笑顔を取り戻したいあなたへ。
歯の色や形のお悩みを、セラミック治療で解決しませんか?無料相談では、患者様のご希望を丁寧にお伺いし、最適な治療法をご提案いたします。




▲プレミアムピュアクラウン上下6本
男性 40代
施術内容:プレミアムピュアクラウン・ピュアクラウン・ピュアクラウンプロ(奥歯などの嚙み合わせに考慮したセラミックの被せ物を作成)
費用目安:158,000円×6本、1,042,800円(税込)

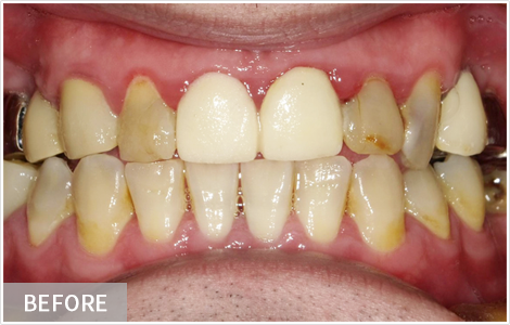
虫歯の治療でプラスチックを埋めたものが長年の経年劣化により、プラスチックの変色がみられます。
奥歯で噛んだ時に前歯があいている状態(開口)で歯並びも気にされていたので当院でセラミック矯正を行いました。


プレミアムピュアクラウンセラミック装着後、プラスチックの変色や、開口も改善されました。
男性 40代
施術内容:プレミアムピュアクラウン・ピュアクラウン・ピュアクラウンプロ(奥歯などの嚙み合わせに考慮したセラミックの被せ物を作成)
費用目安:158,000円×6本、1,042,800円(税込)



▲プレミアムピュアクラウン上4本
男性 40代
施術内容:プレミアムピュアクラウン・ピュアクラウン・ピュアクラウンプロ(奥歯などの嚙み合わせに考慮したセラミックの被せ物を作成)
費用目安:158,000×4本、695,200円(税込)

① 他院でセラミック治療を行い歯茎のラインや、セラミックの色味に違和感があり当院でセラミックのやりかえを行うことになりました。


② 前歯の歯茎のラインを合わせて、仮歯に置き換えました。


③ 当院のプレミアムピュアクラウンにやりかえました。歯茎の腫れも落ち着き、患者様も大変喜んでおりました。




① 他院でセラミック治療を行い歯茎のラインや、セラミックの色味に違和感があり当院でセラミックのやりかえを行うことになりました。
②
前歯の歯茎のラインを合わせて、仮歯に置き換えました。
③ 当院のプレミアムピュアクラウンにやりかえました。歯茎の腫れも落ち着き、患者様も大変喜んでおりました。
60代 女性
施術内容:プレミアムピュアクラウン・ピュアクラウン・ピュアクラウンプロ(奥歯などの嚙み合わせに考慮したセラミックの被せ物を作成)
費用目安:158,000×4本、695,200円(税込)









30代 女性
施術内容:プレミアムピュアクラウン・ピュアクラウン・ピュアクラウンプロ(奥歯などの嚙み合わせに考慮したセラミックの被せ物を作成)
費用目安:158,000×4本、695,200円(税込)



男性 40代
施術内容:プレミアムピュアクラウン・ピュアクラウン・ピュアクラウンプロ(奥歯などの嚙み合わせに考慮したセラミックの被せ物を作成)
費用目安:158,000円×6本、1,042,800円(税込)

他院による保険の被せ物の変色で来院しました。


ホワイトニングを行い、プレミアムピュアクラウンセラミック装着後自然な白さで歯の色味を再現しでセラミックを装着いたしました。
30代 女性
施術内容:プレミアムピュアクラウン・ピュアクラウン・ピュアクラウンプロ(奥歯などの嚙み合わせに考慮したセラミックの被せ物を作成)
費用目安:1本、173,800円(税込)
プレミアムピュアクラウン・ピュアクラウン・ピュアクラウンプロ
施術内容:奥歯などの嚙み合わせに考慮したセラミックの被せ物を作成
費用目安:30,000円(税込33,000円)〜158,000円(税込173,800円)
リスク:歯を削る量が多い・神経がある歯は、麻酔が必要な場合がある



▲ピュアクラウンプロ上前歯4本
30代 女性
施術内容:プレミアムピュアクラウン・ピュアクラウン・ピュアクラウンプロ(奥歯などの嚙み合わせに考慮したセラミックの被せ物を作成)
費用目安:4本、470,800円(税込)



▲ピュアクラウンプロ上下6本
50代 女性
施術内容:プレミアムピュアクラウン・ピュアクラウン・ピュアクラウンプロ(奥歯などの嚙み合わせに考慮したセラミックの被せ物を作成)
費用目安:上下6本、578,000円×2、1,271,600円(税込)



▲ピュアクラウンプロ上6本
40代 男性
施術内容:プレミアムピュアクラウン・ピュアクラウン・ピュアクラウンプロ(奥歯などの嚙み合わせに考慮したセラミックの被せ物を作成)
費用目安:上6本、635,800円(税込)



▲ピュアクラウンプロ上5本
50代 女性
施術内容:プレミアムピュアクラウン・ピュアクラウン・ピュアクラウンプロ(奥歯などの嚙み合わせに考慮したセラミックの被せ物を作成)
費用目安:上5本、586,300円(税込)
プレミアムピュアクラウン・ピュアクラウン・ピュアクラウンプロ
施術内容:奥歯などの嚙み合わせに考慮したセラミックの被せ物を作成
費用目安:30,000円(税込33,000円)〜158,000円(税込173,800円)
リスク:歯を削る量が多い・神経がある歯は、麻酔が必要な場合がある






30代 女性
施術内容:ピュアインレー、ピュアクラウン(患者様の歯に合わせた詰め物・被せ物を作成)
費用目安:Pureインレー3本、68,000円×3、224,400円(税込)
ピュアインレー、ピュアクラウン
施術内容:患者様の歯に合わせた詰め物・被せ物を作成
費用目安:30,000円(税込33,000円)〜158,000円(税込173,800円)
リスク:神経がある歯は、麻酔が必要な場合がある(インレー)歯を削る量が多い・神経がある歯は、麻酔が必要な場合がある(ピュアクラウン)



30代 女性
施術内容:ピュアインレー、ピュアクラウン(患者様の歯に合わせた詰め物・被せ物を作成)
費用目安:Pureクラウン1本、107,800円(税込)
ピュアクラウン
施術内容:患者様の銀歯からピュアクラウンに変更
費用目安:30,000円(税込33,000円)〜158,000円(税込173,800円)
リスク:歯を削る量が多い・神経がある歯は、麻酔が必要な場合がある

