

歯のホワイトニングと同じように歯肉にもホワイトニングを行うことができます。
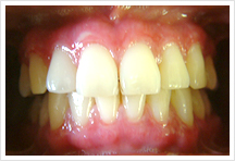
歯肉の黒ずみは日焼けと同じく、メラニン色素が沈着することにより起こる症状で、外からの刺激を歯肉から守るため、表層にメラニン色素が沈着し歯肉が黒ずんでしまいます。主な原因として、タバコによる刺激、加齢や強いブラッシングによる刺激、口呼吸によって直接空気があたる刺激などがあります。
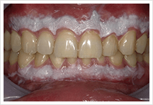
黒ずんだ歯肉は口元の印象を暗くしてしまいますが、歯肉漂白を行うことで新しい歯肉を再生し、きれいなピンク色の歯肉を取り戻すことができます。


歯肉の乾燥

薬剤を塗布

薬剤の剥離
歯肉漂白は、フェノールという薬液を黒ずみに塗布し、アルコールで中和します。塗布した表面が術後すぐに白くなり、2~3日程度で剥離します。すると、新鮮なピンクの歯茎が出てきて、術後1週間くらいで完治します。術後1週間は、辛いものなど刺激物がしみやすいので注意が必要です。(メラニンが濃い患者さんは、数回に分けて施術します)


















施術内容:歯茎の黒ずみを除去する方法
費用目安:上下9,800円(税込10,780円)
リスク:多少の痛みを伴う場合がある
| 歯肉漂白 | ※価格は全て税抜価格です |
|---|---|
| 歯肉漂白(上下顎) | 9,800円(税込10,780円) |
・歯周病により歯肉が黒ずんでしまっている方は、歯肉漂白だけでは黒ずみを取り除くことができません。歯周病の治療を行うことによりきれいな歯肉を取り戻せます。
・子供、妊婦、高血圧の方や薬を服用中の方は歯肉漂白を行うことができません。
・薬剤にアレルギーのある方は治療を行うことができません。治療前にアレルギーチェックをさせていただきます。



診療時間
月~金 10:00~20:00(昼休憩なし)
火(月1回) 10:00~21:00(昼休憩なし)
土・日・祝 午前 10:00~13:00
土・日・祝 午後 14:00~17:30
今月の診療スケジュールはこちら