
患者さまご自身で取り外しを行い、透明のマウスピースを装着し、歯を動かしていきます。透明のマウスピースを使用することで審美性や、取り外しが可能な矯正装置の為、清掃性の向上が見込めます。インビザライン矯正は、移動量が多い歯でも可能なため、幅広い範囲での症例が適応となります。

患者様一人ひとりの歯に合わせて作製されるマウスピースを装着することで段階的に歯を動かし矯正を行います。マウスピースは装着していても違和感が少なく、取り外しが可能なため、食事や歯磨きなど日頃の多忙なライフスタイルにも支障がありません。
インビザラインのマウスピースの中に専用の薬剤を塗布し、装着することで、矯正歯科治療をしたままホームホワイトニングを行うことが出来ます。
また、短期間で効果を出すクリニックレーザーホワイトニングを同時に行うことも可能です。

歯並びが原因で人前で笑う時に口をおさえたり、隠そうとして話すときや、笑う時に不自然な口元になってしまったり、様々なコンプレックスが原因で自分に自信がもてない方がいらっしゃると思います。なかには、カウンセリング時では「歯並びを気にしすぎて、歯医者さんに来ることが恥ずかしい」という方もいらっしゃいました。安心してください。歯の悩みを持つ方は沢山いらっしゃいます。そこで専門スタッフがカウンセリングを通して患者様のお悩みを親身になってお聞きし、患者様の気持ちに寄り添ってカウンセリングを行い、少しでも気持ちが明るくなってお帰りいただけるよう努めております。
当院では矯正治療に詳しい専門カウンセラー、歯並びコーディネーターによる無料カウンセリングを行っております。どんなことでもお気軽にご相談ください。

歯科に対して不安感、恐怖心をもつ方もスタッフとの会話を通して「カウンセリングに行ってよかった」などのお声をいただいております。
カウンセリングは、歯のことはもちろんですが、それ以外にも患者様との日常生活の会話やコミュニケーションを大切にしております。その中で是非あなたにあった矯正方法、「これなら頑張れる」と思うものが見つかると嬉しいです。

インビザライン矯正は取り外しが可能な矯正装置ですので、マウスピースを外している間は、歯に力がかからない為、歯は動きません。
基本的にはお食事以外の時につけて頂き、20時間以上の装着が可能な方にお勧めしております。十分な装着時間を得ることが出来ない方には他の矯正装置をご案内するケースがございます。
最新の歯科矯正理論と、米国アライン・テクノロジー社独自の3次元画像化技術やCAD/CAM(光造形)等の最先端技術を融合させた、新しいアプローチの歯科矯正治療システムです。
これまでに、全世界で8万人以上の先生方が、インビザライン・システムによる治療を行うための認定を受けられ、累計では250万人以上の患者様がインビザライン治療を受けています。




出っ歯
上顎前突

| 治療期間 | 約1年半 |
|---|---|
| 施術内容 | インビザライン矯正 |
| 費用 | 398,000円(税込437,800円)~998,000円(税込1,097,800円) |
| 追加治療 | なし |
| リスク | 1日20時間以上装着する必要があるため、装着できない場合は歯がきれいに並ばない可能性がある |

受け口
下顎前突


すきっ歯
空隙歯列弓


ガタガタ
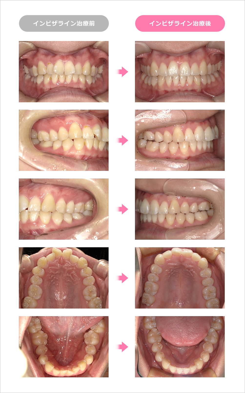
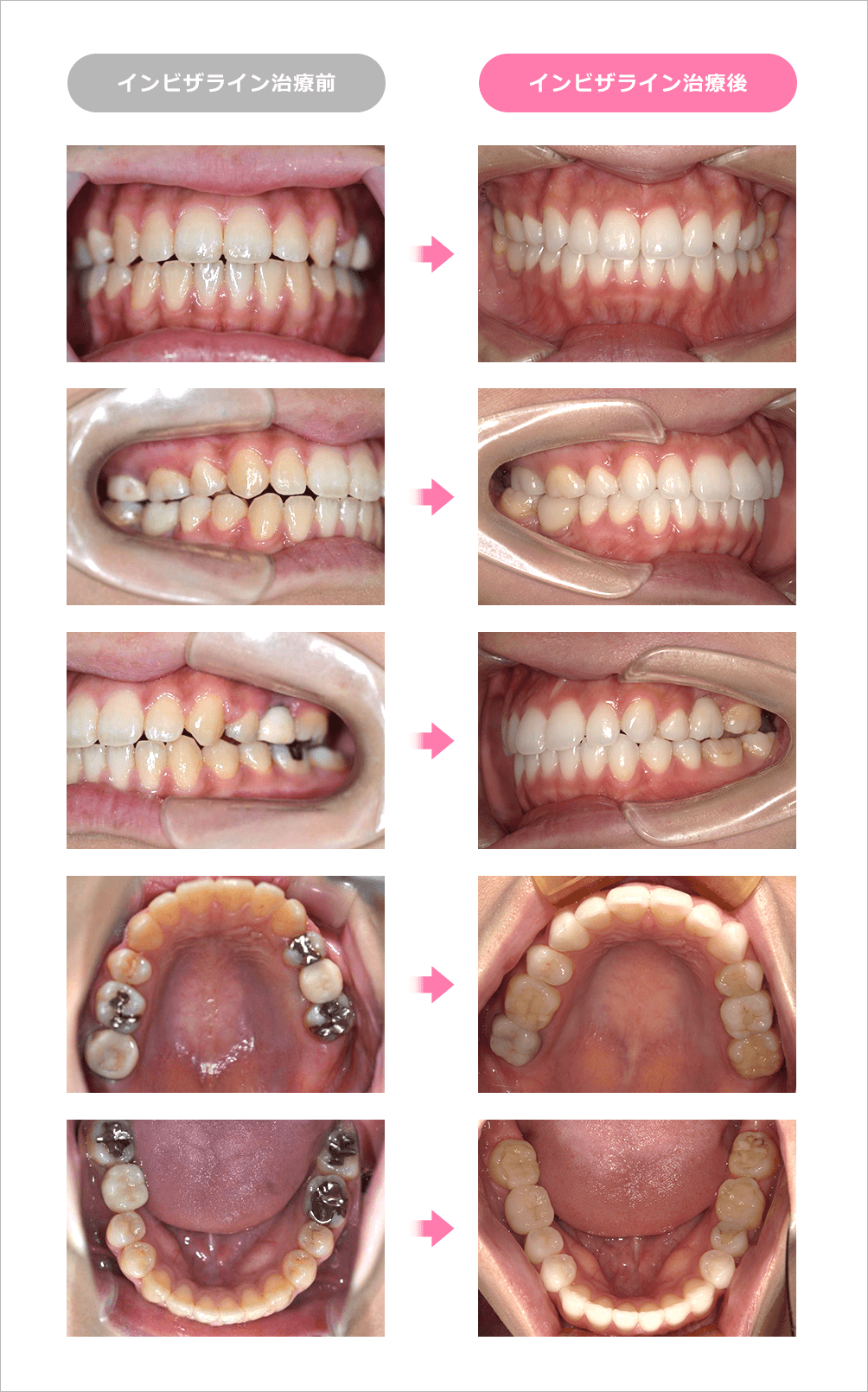
叢生

| 治療期間 | 約1年半 |
|---|---|
| 症状 | 前歯の歯並びが気になる |
| 施術内容 | インビザライン矯正(Full) |
| 費用 | 998,000円(税込1,097,800円) |
| 追加治療 | なし |
| リスク | 1日20時間以上装着する必要があるため、装着できない場合は歯がきれいに並ばない可能性がある |

| 症状 | 前歯の歯並びが気になる |
|---|---|
| 施術内容 | インビザライン矯正(Full) |
| 費用 | 998,000円(税込1,097,800円) |
| 追加治療 | なし |
| リスク | 1日20時間以上装着する必要があるため、装着できない場合は歯がきれいに並ばない可能性がある |

| 治療期間 | 約2年 |
|---|---|
| 症状 | 歯ならびを改善したい |
| 施術内容 | インビザライン矯正(Full) |
| 費用 | 998,000円(税込1,097,800円) |
| 追加治療 | なし |
| リスク | 1日20時間以上装着する必要があるため、装着できない場合は歯がきれいに並ばない可能性がある |

| 治療期間 | 約2年半 |
|---|---|
| 症状 | 下の歯のガタつきが気になる |
| 施術内容 | インビザライン矯正(Full) |
| 費用 | 998,000円(税込1,097,800円) |
| 追加治療 | なし |
| リスク | 1日20時間以上装着する必要があるため、装着できない場合は歯がきれいに並ばない可能性がある |

| 治療期間 | 約2年 |
|---|---|
| 症状 | 歯の並びが気になる |
| 施術内容 | インビザラインTeen矯正 |
| 費用 | 698,000円(税込767,800円)~898,000円(税込987,800円) |
| リスク | 1日20時間以上装着する必要があるため、装着できない場合は歯がきれいに並ばない可能性がある |

| 治療期間 | 3年 |
|---|---|
| 症状 | 歯並びと歯のガタつきが気になる |
| 施術内容 | インビザライン矯正(Full) |
| 費用 | 898,000円(税込987,800円) |
| 追加治療 | 部分的なワイヤー矯正 |
| リスク | 1日20時間以上装着する必要があるため、装着できない場合は歯がきれいに並ばない可能性がある |

| 治療期間 | 3年 |
|---|---|
| 症状 | 歯並びと歯のガタつきが気になる |
| 施術内容 | インビザライン矯正(Full) |
| 費用 | 898,000円(税込987,800円) |
| 追加治療 | 部分的なワイヤー矯正 |
| リスク | 1日20時間以上装着する必要があるため、装着できない場合は歯がきれいに並ばない可能性がある |

| 治療期間 | 3年 |
|---|---|
| 症状 | 歯並びと歯のガタつきが気になる |
| 施術内容 | インビザライン矯正(Full) |
| 費用 | 898,000円(税込987,800円) |
| 追加治療 | 部分的なワイヤー矯正 |
| リスク | 1日20時間以上装着する必要があるため、装着できない場合は歯がきれいに並ばない可能性がある |

| 症状 | 歯並びと歯のガタつきが気になる |
|---|---|
| 施術内容 | インビザライン矯正(Full) |
| 費用 | 898,000円(税込987,800円) |
| リスク | 1日20時間以上装着する必要があるため、装着できない場合は歯がきれいに並ばない可能性がある |

| 治療期間 | 約2年半 |
|---|---|
| 症状 | 歯並びと歯のガタつきが気になる |
| 施術内容 | インビザライン矯正(Full) |
| 費用 | 898,000円(税込987,800円) |
| リスク | 1日20時間以上装着する必要があるため、装着できない場合は歯がきれいに並ばない可能性がある |

開口
オープンバイト

| 治療期間 | 約2年 |
|---|---|
| 症状 | 前歯が開いているのが気になる |
| 施術内容 | インビザラインフル |
| 費用 | 998,000円(税込1,097,800円) |
| 追加治療 | なし |

| 治療期間 | 2年4ヶ月 |
|---|---|
| 症状 | 前歯の噛み合わせが、気になる 話しづらい |
| 施術内容 | インビザラインフル |
| 費用 | 998,000円(税込1,097,800円) |
| 追加治療 | なし |

その他

| 治療期間 | 約1年半 |
|---|---|
| 症状 | 奥歯がかんでいない |
| 施術内容 | インビザライン矯正(Lite) |
| 費用 | 598,000円(税込657,800円) |
| 追加治療 | なし |
| リスク | 1日20時間以上装着する必要があるため、装着できない場合は歯がきれいに並ばない可能性がある |

| 治療期間 | 約2年2ヶ月 |
|---|---|
| 症状 | 奥歯で食べ物が噛めない |
| 施術内容 | インビザライン矯正(Full) |
| 費用 | 998,000円(税込1,097,800円) |
| 追加治療 | なし |
| リスク | 1日20時間以上装着する必要があるため、装着できない場合は歯がきれいに並ばない可能性がある |
インビザラインの金額は調整料込みの金額となっております。
| エクスプレス(i7)調整料・保定装置込 | 398,000円(税込437,800円) |
|---|---|
| (Lite)調整料・保定装置込 | 598,000円(税込657,800円) |
| (MP)調整料・保定装置込 | 798,000円(税込877,800円) |
| コンプリヘンシブ(Full)調整料・保定装置込 | 998,000円(税込1,097,800円) |
| 患者さんの都合によるアタッチメントoff・on(1歯) | 600円(税込660円) |
| インビザラインVIVERAリテイナー(片顎) | 30,000円(税込33,000円) |
| インビザラインアライナー紛失(上下1Stepの再製作) | 10,000円(税込11,000円) |
| ハイブリッド矯正(Es Guide System)(片顎) | 250,000円(税込275,000円) |
| インビザ⇔ブラケット 途中乗換分 | 半額 |
| インビザライン治療完了後、インビザライン矯正を行う場合 ※但し当院で矯正を行った方でインビザライン フル、ライトのみ可能 |
通常料金の 30%OFF |
| ワイヤー矯正治療完了後、ワイヤー矯正を行う場合 ※但し当院でワイヤー矯正を行った方のみ可能 |
通常料金の 30%OFF |
| 光加速装置 | 100,000円(税込110,000円) |
| カラーコーティング(1袋) | 1,100円(税込1,210円) |





