バイオネーターってなに?
そんな時に使われるのが バイオネーター という矯正装置です。
【バイオネーター】とは、顎の成長を正しい方向に導くための矯正装置で、お子様の成長期に使用する小児矯正装置です。
①歯並びが悪くなる原因は「歯」だけじゃない🤔?
・顎が小さい
・上下の顎のバランスが悪い
・舌や口周りの筋肉の使い方
といった 骨格や成長の問題 が関係していることも多いんです☝️
【バイオネーター】は、
👉 歯を直接動かすのではなく
👉 顎の成長そのものをサポート
する装置です。
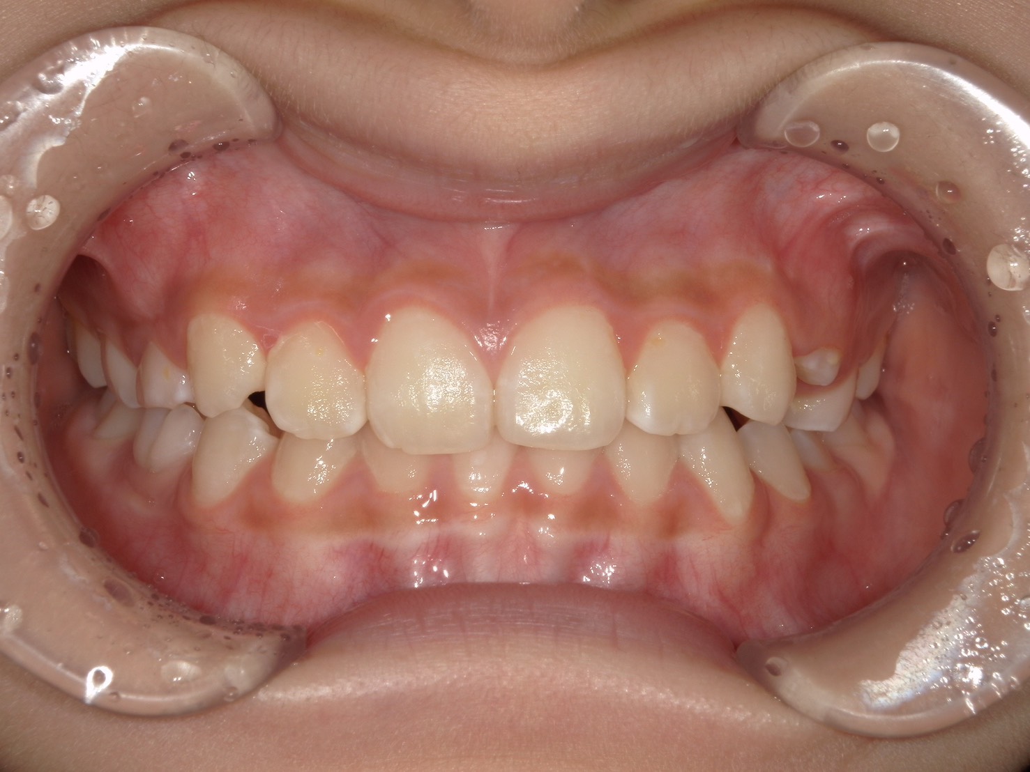
②バイオネーター使用前の状態

上下の顎のバランスが整っていないと、
・前歯が噛み合わない
・出っ歯、受け口になりやすい
などの状態が見られます。
③バイオネーター装着後の変化
✔ 顎の成長
✔ 噛み合わせ
✔ 口周りの筋肉の使い方
を少しずつ整えていきます😊
↓バイオネーター装着時

バイオネーターを使用することで、下記のような効果が期待できます😊✨
・顎の成長バランスを整える
・将来的な本格矯正が不要、または軽くなる可能性
・抜歯のリスクを減らせることがある
・自然な成長を活かした治療ができる
※治療効果には個人差があります。
顎の位置が整うことで、歯が並ぶスペースが確保され、見た目も噛み合わせも安定してきます✨

④いつ頃から始めるのがベスト?
ただし、
✔ 成長スピード
✔ 噛み合わせの状態
✔ 生活習慣
によって適応は異なります。

⑤まとめ
お子様の自然な成長を利用し、顎の成長を正しい方向に導くための矯正装置です。
顎幅や噛み合わせがよくなることで、歯並びも整ってくるので、将来的に歯列矯正が必要になる場合でもラクにできる可能性があります。
『うちの子は対象かな🤔?』と気になったら、まずはお気軽にご相談ください😊
📩 ご相談・ご予約はこちら
https://www.dc-pure.com/
⭐PURE伊勢原⭐
https://www.dc-pure.com/isehara
💬 LINE予約もご利用ください😊
※症例もたくさんありますので、ぜひInstagramもご覧ください。
PURE恵比寿→@dental.clinic.pure
PURE伊勢原→@dcpureisehara
佐藤全純理事長→@dr.masazumisato
この記事を書いた人

- チーフ歯科衛生士
-
主に仮歯作製と矯正治療を担当しています。
患者さまにご満足頂けるよう、
常に丁寧な仕事を心がけています。
お子様の仮歯作製は10年以上担当しているので得意中の得意です♪
最新の投稿
小児歯科2026年1月6日バイオネーターってなに?
歯科美容2025年9月18日ガミースマイルのお悩みと治療体験😊
矯正歯科2025年7月25日インビザライン矯正で歯並びを綺麗に!笑顔に自信を✨
矯正歯科2025年1月8日セラミック矯正ってどんなもの😲?
CLINIC INFORMATION
デンタルクリニック ピュア恵比寿
- 住所
- 東京都渋谷区恵比寿1-7-13 只見ビル2F/5F
- 診療時間
-
月~金 10:00~20:00(昼休憩なし)
土・日・祝 午前 10:00~13:00
土・日・祝 午後 14:00~17:30
今月の診療スケジュールはこちら
デンタルクリニック ピュア伊勢原
- 住所
- 神奈川県伊勢原市板戸 267-6
- 診療時間
-
月・火・木・金 午前 10:00~13:00
月・火・木・金 午後 14:00~18:30
土 午前 10:00~13:00
土 午後 14:00~17:30
水・日・祝 休診
今月の診療スケジュールはこちら
公式サイト
デンタルクリニックピュア
https://www.dc-pure.com/
ピュアビューティー
https://www.dc-pure.com/pure-beauty/







